Skip to main menu
Skip to main content
Skip to footer
Home
About Us
Founders
Board of Directors
Management Team
Medical Advisory Board
Advisory Board
Innovations
Ziplyft Device
Benefits
Before & After
FAQ
Press
Contact
Surgeons Order Here
Home
»
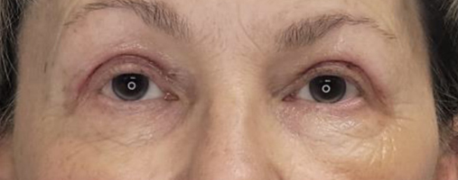
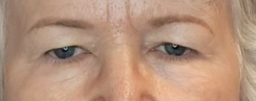
Before & After
Before & After
⇧
Open toolbar
Accessibility Tools
Accessibility Tools
Increase Text
Increase Text
Decrease Text
Decrease Text
Grayscale
Grayscale
High Contrast
High Contrast
Negative Contrast
Negative Contrast
Light Background
Light Background
Links Underline
Links Underline
Readable Font
Readable Font
Reset
Reset