








With MIS-4-Lids technology, the procedure can now be done in the office, thus eliminating the need for hospital or a surgery center.
No IV Sedation required, and the zipper lock closure eliminates bleeding and suturing, allowing closure with tissue adhesive.
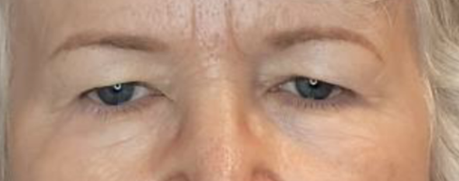
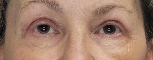
More youthful, revitalized, and symmetric appearance with less downtime, allowing patients to become event-ready quickly and confidently.






* images show standard procedure
Innovation Insight
"I have been an eye surgeon for over 25 years and have performed thousands of blepharoplasties or eyelid lifts. This procedure restores peripheral vision and creates a younger more revitalized appearance by removing excess skin from the upper lid. My innovation insight was inspired by an ancient Egyptian medicine exhibit showing how Egyptian healers removed excess lid skin by compressing the skin between two small twigs, depriving it of blood supply. The excess skin fell off within 5 days.
The Ziplyft uses compressive skin contouring, eliminating the need for cautery and suturing, so that patients can have a faster recovery with less bruising.
Innovation Insight
"I have been an eye surgeon for over 25 years and have performed thousands of blepharoplasties or eyelid lifts. This procedure restores peripheral vision and creates a younger more revitalized appearance by removing excess skin from the upper lid. My innovation insight was inspired by an ancient Egyptian medicine exhibit showing how Egyptian healers removed excess lid skin by compressing the skin between two small twigs, depriving it of blood supply. The excess skin fell off within 5 days.
The Ziplyft uses compressive skin contouring, eliminating the need for cautery and suturing, so that patients can have a faster recovery with less bruising.
